licówka kompozytowa
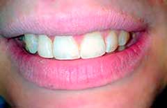
Pacjentka z cofniętym prawym siekaczem bocznym
, który przez wiele lat sprawiał, że wolała uśmiechać się dyskretnie.
Ta sama Pacjentka po 40 minutowej wizycie
, podczas której nałożyliśmy na ząb bez jego uszkadzania licówkę kompozytową.
korona porcelanowa
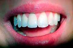
Pacjentka ze złamanymi, martwymi, ciemnymi zębami
, które niepotrzebnie zaburzały ładny wygląd pozostałych zębów.
Ta sama Pacjentka po tygodniu leczenia
i po założeniu dwóch koron porcelanowych na podbudowie metalowej, idealnie dobranych kształtem i kolorem do zębów własnych.
